今回はしっかり眉毛の長さを伸ばして来ていただきました。
やっぱりハリウッドブロウリフトをするには長さがある方が仕上がりが綺麗になります。

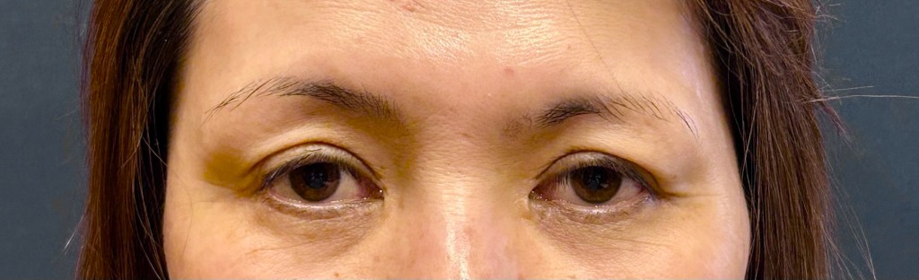
これが施術前の写真です。
眉毛がスカスカに見えて下に落ちてしまっているのが分かると思います。
どうしても癖があると色々な方向に生えているのでバラツキが出てしまいます。

こちらが施術後の写真です。
毛の流れが整った事で眉毛のスカスカ感も消えて下に落ちてた毛も同じ方向を向いたので綺麗な眉毛になりました✨

こちらが施術前と後の比較です。
全然違うのが分かると思います。
綺麗な眉毛を作りたい方はLUZにご相談下さい✨
※なるべく眉毛はカットせず伸ばして来て下さいね。

コメントを残す